東京都世田谷区祖師谷3-8-12  フェリーチェ祖師谷 1F

受付時間


月・火・木・金:9:00~13:00
        15:00~20:00
    水曜日:10:00~13:00     
   土曜日:9:00~13:00
                     15:00~17:00
定休日:日曜
TOP

動作評価

痛みを出す動作のクセをみつけます


姿勢と同様、動画にてカラダの動きの『クセ!』を明確化します。
日常的に繰り返される動きのクセにより同じ場所に同じストレスが加わるために痛みが出現したり、繰り返される痛みの原因になります。
この動きのクセを見つける事で何に問題があり、どう対応していけばいいのかが明確化されます。


一部、 具体的な動作評価を説明していきます。
まずは前屈動作と単純な動作ですが、多くの情報が得られます。


例えば、下記の前屈動作では、左右の写真で脊柱の動きに大きな差がみられます。
ポイントは、腰の付け根と背中の部分になります。

右の写真は、この腰の付け根と背中の部分で前屈動作を遂行している事がわかると思います。
要するに、〇の部分が過剰に動いているため機械的なストレスが多く加わるために痛みが出やすい場所だという事が想像できます。

左の写真は、キレイに脊柱が丸く曲がっているのがわかります。

子供と大人では背中の丸みに違いがある


子供と同じ動作をしている写真を並べているが、形が全然違うことがわかります。
『子供だから柔らかいのよ!』と聞こえてきそうですが、皆、子供の時期があったし、必ず柔らかいしなやかな脊柱を持っていた時期はあったはず。

ではなぜ、動作が変わっていくのかがとても大切な事になる。

詳しく下記に詳細を記載してあります。

簡単に伝えると痛みが起きると患部を動かさないように安静にしたり、固定したり、カラダが自然に動かさないようにかばったりします。

痛みは安静にするからこそ、時間とともに痛みは消える。

ギプス固定と同じように、ヒトのカラダは動かさないとドンドン関節は拘縮して固まっていきます。
で、脊柱全体が固まると前に倒れたり後ろに反ったりができなくなるため、動く場所と動かない場所に分かれる。

動きが過剰な場所は痛みが出やすい場所になるし、動かない場所の関節は固まっているため拘縮している場所になる。このような脊柱になると先ほどの脊柱の動作に変わっていきます。


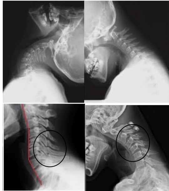
次は首を診てみましょう。

〇の部分が過剰に動くため痛めやすい

上を向いた時と下を向いた時のレントゲン画像の違いがわかると思います。

腰と同様に動きが過剰な場所は痛みが出やすい場所になるし、動かない場所の関節は固まっているため拘縮している場所になる。


上位頸椎には後頭下筋群があり、これが緊張し、凝り固まると頭と上位頸椎が一体化させ、上位頸椎の可動域を失わせます。
上位頸椎の可動性が失われると、下位頸椎が過剰に動くという環境になっていく。

頭痛との関連がある後頭下筋群

レントゲン写真をみてわかるように、〇の部分で首をメインに動かしています。
頭の重さは、体重の約10%あるといわれております。
体重が60Kgのヒトでは、約6Kgになります。

デスクワークなどで頭が前に出ることにより首にかかる負荷が2倍 3倍の頭の重さになって首にかかってきます。
6Kgのモノが12Kg 18Kgになり、首に負荷がかかり、それも1日に8時間以上の時間。

やはり、腰と同様に関節の動きを正常に戻すことが首の負荷を下げることにつながり、結果、痛みを出さないカラダを作る事になります。





では膝ではどうでしょうか。
膝の多くの問題は、「膝が内側に入ること!」になります。

片足立ちでスクワットをすると膝が内側に入る事が多くみられます。

どれも膝が内側に入ったりしています


膝が内側に入ると膝の中ではどのような事が起きているのかが想像できます。
膝の中に剪断力と圧縮力が生まれ、関節の中にある半月板を傷つけてしまいます。


また、膝の内側と外側にかかる圧ストレスにも変化が出てきます。

膝が内側に入るとせんだん力で関節の中を痛めやすい


通常膝がまっすぐに落ちた時の膝の圧ストレスは内側50% 外側50%になります。

しかし、膝が内側に入ったら内側へのストレスは50%から70%や80%に変わり、外側へのストレスは50%から20%や30%へと圧ストレスが変化する。

膝がまっすぐに落ちる事がベストです


一歩歩けば膝が内側に入る。しゃがんでも膝が内側に入る。
この膝の中に加わる剪断力と圧縮力を改善させないと膝の変形は時間と共に進行していきます。


要するに、膝が曲がる・伸びる・筋の機能を改善させるのも大切だけれども、膝が内側に入らないようにしゃがむという事の方が大切である

この膝が内側に入る=膝に負荷が高まる


ここをどのようにして膝が内側に入らないようにするかが重要なポイントになります。

変形の進行度合い

当施設のアプローチを利用された方

階段や歩いている時のひざ痛

世田谷区のS.Tさん(60歳)

階段や段差などの時に膝が痛く、こちらを受診しました。
今は受診して1か月目ですが、以前より歩きやすくなりました。

運動もただモモの前のトレーニングだけでなく、お尻のトレーニングとか、「なぜこれをしないといけないのか!」を教えてくれるから納得します。

首痛・腰痛

世田谷区のT.Mさん(55歳)

今までずっと首に違和感があり、左に向くと痛みを感じていました。

また15年来の腰痛もあり、毎日の立ち仕事がとてもつらく感じておりましたが、何度か通うようになったところで首の痛みは消えラクになってきました。

今後は腰痛の方も改善されればと期待しております。

院内の環境もキレイで気持ちよく施術が受けれます。

施術 料金

 

当院で受けられる施術料金をご案内します。
※表記はすべて税込金額です。

当施設は、施術と運動療法を提供いたします。
しかし、初診時から運動療法を提供するわけではありません。
あくまで、セラピストの判断で運動療法のメニューを作成いたします。

基本料金表

検査料 2,000円
施術料金 5.000円
2回目以降 5.000円

高校生以下の料金表

検査料 2,000円
施術料金 6.000円
2回目以降 6.000円

<はじめての方へ>

  • お支払いは、現金、クレジットカード、電子マネーはお取扱いしております。
  • 領収書が必要な方は、お申し付けください。
  • やむを得ず予約をキャンセルされる場合は、お電話にて、できるだけ早めにご連絡ください。

営業時間

診療時間

9:00~13:00

× ×
15:00~20:00 × × ×
9:00~17:00            

お電話でのお問合せはこちら

03-6310-9150

関連するページのご紹介

こちらのページを読んだ方には、下記のページもよく読まれています。ぜひご一読ください。
※下記のリンクから、本ページと関連するページのリンクを設定してください。

パソコン|モバイル
ページトップに戻る