東京都世田谷区祖師谷3-8-12  フェリーチェ祖師谷 1F

受付時間


月・火・木・金:9:00~13:00
        15:00~20:00
    水曜日:10:00~13:00     
   土曜日:9:00~13:00
                     15:00~17:00
定休日:日曜

Reeducationが行う膝関節へのアプローチ

膝痛 解決への考え方

膝関節痛が起こるメカイズム

膝痛を発症する方の多くは、「体幹部分の問題!」も視野に入れなければなりません。

なぜかというと、膝が悪くなる理由の1つに「歩行時に体幹がブレることにより膝が内側に入る!」ことが
大きな問題点となります。


その歩行時には、体幹部分と膝関節は連動して動くからです。

要するに、膝痛のリハビリのキーポイントは、「膝の機能を修正すること!」「歩行時に膝が内側に入らないような動作修正!」

ここが大きなキーポイントになります。

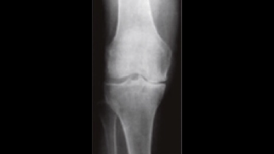
膝痛になり膝が内側に入ると靭帯や半月板が痛みます

がまっすぐ落ちれば、膝の中にある半月板にかかる負荷が内側50% 外側50%ずつの圧力がかかります。
しかし、膝が内側に入ることで半月板にかかる負荷が変わります。
例えば、内側70% 外側30%と負荷が変わることにより内側へのストレスが高くなることによって痛みが出やすい環境になります。

だから、膝関節の機能を修正させながら、「動作も修正!」していくことがキーポイントになります。
この機能修正が膝痛のリハビリのキーポイントになります。



上記の写真をみてわかるように膝が内側に入っているのがわかります。

1日 1万歩 歩けばその分膝の内側にストレスは加わる。
膝にかかるストレスが正常な人よりも高くなることは容易にわかるだろう。

膝の機能を変えることも大切だが、膝が内側に入らないようにする運動療法も非常に大切になります。

だから、今現在のカラダがどう動いているのか!?

それを知るからこそカラダのどこに負担がかかっているのかがわかります。


筋の機能は?
関節の動きは?
脊柱の動きは?
神経系の機能は?
姿勢は?
動作は?


膝関節が痛い 局所の問題ではなく、カラダ全体の機能を変えることが必要だということがわかります。

Reeducationでの施術と運動療法のメリット

自分のカラダを知る8項目の検査

~まずは自分自身のカラダを知る~ 

これが痛みを出さないカラダを作るために、一番大切なことです。
自身のカラダの「今!」を知れば、最適な解決方法を選択することができます。
例えるなら、バケツに穴があいて水が溜まらないでいる

これで水は溜まりますか?

だからこそ、
「筋の状態」「関節の状態」「神経の状態」「普段の姿勢」「日常での動作」など多角的に「今!」のカラダがどうなっているのかを知る必要がありませんか?

カラダを知るためのカウンセリング

Reeducationでは、目先の痛みの緩和ではなく、
カラダの機能修正を提供いたします。
そしてカラダの機能修正には、まずあなたのカラダの状態がどうなっているのか?
どうすれば悩みが解決するのか?

ご自身で知る事により痛みが出ないカラダを作ることができます。

カラダの状態に合わせて、「何をどうすればいいのか!」を
私がお伝えします。
これを繰り返すことで必然的に自分のカラダの弱点を知り、
自分でコンディショニングができる
ようになります。

カラダの機能を変えるアプローチ


Reeducationでは、施術と運動療法を融合させる事により痛みをなくすだけでなく、弱くなった筋力を鍛える作業動作を修正することで痛みが出ないカラダは作れます

ただベットにうつ伏せに寝た施術者お任せの施術ではカラダは変わりません。

 

積極的にカラダを動かす運動スペースがある

当施設では運動療法スペースを広く確保しております。
その運動療法スペースで、施術後にあなたに合った運動療法を行っていただきます。

例えば、関節の可動域を拡げる運動療法関節の安定性を作る運動療法、また当施設にある動的ストレッチマシンを活用し、カラダの機能を修正します。
 

ダイナミックストレッチマシンで関節可動域拡大


施術後または施術前にダイナミックストレッチマシンを活用し
関節可動域を拡げましょう。
某メジャーリーガーやプロや中選手、ゴルファーもカラダの
コンディショニングで使う「柔軟性」「神経機能」の問題解決を目的に設計されたマシンが、運動療法スペースにありますので、積極的にご活用ください。

ダイナミックストレッチマシンの使い方やどのような動きをするかは下記の詳細を見てください。

自宅でコンディショニングできる


初診時に皆さまのカラダの状態を検査し、どこに問題があるか知っているからこそ的確な運動療法を提供することができます。

また、Reeducationでは施術後に運動療法スペースでエクササイズを行っていただきます。
その施設内で行った運動療法を自宅でも行う。

そうすることで自分に必要な運動療法は何なのか?
どうゆう種類を行えばいいのか?
どれくらい行えばいいのか?
痛かったらどう対応すればいいのか?


などカラダに関する知識が増えることで自分のカラダを自分でコンディショニングできるようになります。

 

アプローチの流れ

お問合せ・ご予約

当院は完全予約制です。当日の空きがある場合もございますので、まずはお気軽にお問合せください。

受付

ご予約時刻の10分前までに、受付へお越しください。

 

初めての方には、受付でバインダーをお渡しします。お手数ですが、症状やお悩みなどについての簡単なアンケートへのご記入をお願いいたします。

 

詳しい内容については、改めて院長からヒアリングをさせていただきますので、どうぞご安心ください。

ヒアリング

まずは『問診』でカラダの状態を『痛み』だけでなく、『痛みを出している部位と全身のの関係性』を引き出します。

 

当院では、お客さまにご納得いただけないまま施術を進めるようなことは一切ございません。

 

一つでもご不明点がございましたら、お気軽にお申し付けください。

検査

患者さまのカラダがどのような状態か8項目の検査を用いて調べます。

カウンセリング・施術計画

評価に基づきカラダの状態を把握し、今後の施術計画を策定します。

アプローチ

平日は時間がないという方も安心です。

評価から得た情報をもとに身体へアプローチしていきます。

 

Reeducationでは患者さまのカラダへの負担や時間的拘束を最小限にするために、短時間で必要なアプローチのみ行います。

施術後の説明

平日は時間がないという方も安心です。

ご自身で行っていただくストレッチ・筋肉トレーニングなどの運動療法を指導させていただきます。

わからない事やカラダの疑問点はお気軽にご相談ください。

当施設のアプローチを利用された方

階段や歩いている時のひざ痛

世田谷区のS.Tさん(60歳)

階段や段差などの時に膝が痛く、こちらを受診しました。
今は受診して1か月目ですが、以前より歩きやすくなりました。

運動もただモモの前のトレーニングだけでなく、お尻のトレーニングとか、「なぜこれをしないといけないのか!」を教えてくれるから納得します。

首痛・腰痛

世田谷区のT.Mさん(55歳)

今までずっと首に違和感があり、左に向くと痛みを感じていました。

また15年来の腰痛もあり、毎日の立ち仕事がとてもつらく感じておりましたが、何度か通うようになったところで首の痛みは消えラクになってきました。

今後は腰痛の方も改善されればと期待しております。

院内の環境もキレイで気持ちよく施術が受けれます。

施術 料金

 

当院で受けられる施術料金をご案内します。
※表記はすべて税込金額です。

当施設は、施術と運動療法を提供いたします。
しかし、初診時から運動療法を提供するわけではありません。
あくまで、セラピストの判断で運動療法のメニューを作成いたします。

基本料金表

検査料 2,000円
施術料金 5.000円
2回目以降 5.000円

高校生以下の料金表

検査料 2,000円
施術料金 6.000円
2回目以降 6.000円

<はじめての方へ>

  • お支払いは、現金、クレジットカード、電子マネーはお取扱いしております。
  • 領収書が必要な方は、お申し付けください。
  • やむを得ず予約をキャンセルされる場合は、お電話にて、できるだけ早めにご連絡ください。
パソコン|モバイル
ページトップに戻る