東京都世田谷区祖師谷3-8-12  フェリーチェ祖師谷 1F

受付時間


月・火・木・金:9:00~13:00
        15:00~20:00
    水曜日:10:00~13:00     
   土曜日:9:00~13:00
                     15:00~17:00
定休日:日曜

知れば得するマメ知識

カラダに関する知識の図書館


知れば得するマメ知識』ではあまり聞かない情報をテーマに発信していこうと考えています。

ここでの内容は文献や書籍に載ってない部分もあります。
個人的には文献や書籍だけの情報を信じていたらカラダは何も変わらないと考えております。

たとえば、モモの前の筋肉を鍛えれば膝の痛みが消える!
とか、腹筋がないから腰痛になる! だから体幹を鍛えろ。
とよくTVや医療機関で聞くと思います。

膝が痛い方はモモの前の筋力低下がある。
腰痛の方は腹筋が弱い。
これらはエビデンスにあります。

別にエビデンスを否定するわけではありませんが、膝痛・腰痛が筋トレしたから治りました。
そんな簡単にヒトのカラダは解決しません。

私の考え方もエビデンスベースにありますが、自分なりの経験をもとに考えた結果をここに発信していこうと思います。

 

エビデンスからブラッシュアップした情報

頭痛と首の関係


シップやロキソニンなど薬に頼って痛みをごまかしていませんか?
痛みはカラダからの限界です!
というサインになります。

この大切なサインをクスリでなくさないで下さい。
カラダを変える方法があります。
 

「上を向くな」といわれた首の方


なぜ、「上を向くな!」というのか理由があります。
上を向くと、神経を圧迫して痛みやシビレが出やすくなるからです。
しかし、ヒトの首の可動域は真上を向く可動域があります。
「上を向くな!」といわれ、向かなければ二度と真上を向けなくなります。
「上を向くな!」ではなく、「上を向けるような首を作る!」が大切になります。

 

デスクワークでの首痛・肩こり


1日に8時間以上PC作業をすれば首・肩こりになるのは当たり前です。
首・肩が痛いからクスリやマッサージを受けるよりも、まず大切なのは「どうしたら解消できるか!」が大切になります。
ただ、なんとなく施術やマッサージを受けるのではなく、目的をもって行動することが解消につながります。

 

首の可動域が狭い方の方


以外に首の可動域が狭い方は多くいます。
どれくらいの可動域が正常なのかが、わからないのが普通です。
しかし、痛みを繰り返すから可動域は狭くなっていきます。
可動域が狭いこと=何度も痛みを繰り返している事!
痛みの解消には、マッサージではなく、関節の動きを作る必要があります。

 

手に力が入らない首痛肩こり方


首の問題が長いと手に力が入らなくなります。
一般的には、「頸椎ヘルニア」という診断名がつくと思います。
頸椎ヘルニアは医師がつける診断名であって、首痛・肩こりも合併しております。それだけでなく、頭痛もあるでしょう。
だから、首痛・肩こりの問題にも目を向けなければなりません。

 

噛み癖と首


噛み癖は首とストレスの関連性があります。
ストレスが多くかかることにより交感神経が優位に働くことにより、歯ぎしりや噛み癖が起きる。

また噛むことにより首の筋の緊張が高まります。
だから噛むことにより、首の問題は解消しせん。
噛み癖をなくし、首の問題を解消する方法があります。
 

痛みが出るメカニズム


痛みが出るパターンは2種類しかありません。

1つは外傷。
もう1つは、繰り返し加わるカラダへのストレスが蓄積してキャパを超えて痛みが出る。

この2パターンしかありません。
ここでは日常生活に多い繰り返し加わるカラダへのストレスが蓄積してキャパを超えて出る痛みについての説明をします。
 

画像診断も大切だが、
動作評価も大切


画像診断は確かに大事です。
今現在の骨の変形レベルがわかる。

しかし、今現在の変形のレベルと今あるカラダの痛みは必ずしもイコールではない。
カラダがどう動いて、どこにストレスがかかり、痛みを出す原因になっているのかがわかるのは動作評価のみです。

あくまで画像診断は停止している状態での診断になります。
 

関節が安定するメカニズム


ただマッサージをして緊張をなくしたり関節の動きを作ればすべてが終わり!!
ではありません。
関節を安定させるにはインナーマッスル(深部の筋)を収縮させ関節を包み込むようにギュッとする役割があります。

痛みを出さないカラダを作るには必ず運動療法が必世になります。
 

体幹が大切といわれる理由


『体幹』の大切さは多くの方が知っているでしょう。
しかし、どんなトレーニングをしたらいいのか!
どんな効果があるのか!
を知らない人は多いと思います。

ここでは一般的な『体幹トレーニング』の意味についての内容を記載しています。
 

首と腰の筋が凝りやすい場所は決まっている


痛みを繰り返すと、カラダには過剰に動きやすい場所と固まり動きにくい場所にわかれる。
過剰に動く場所は、不安定のためストレスがかかり痛みが出やすい場所になる。
そして関節の不安定を補うために筋の緊張が高まります。
この不安定になる場所は構造上、決まっており、カラダの構造を理解していれば的確にアプローチできます。

 

当施設の8種類の検査


ヒトのカラダを評価する事において患部の症状だけを診るのではなく、 関節の機能異常や動作によるカラダ全体への影響を調べる検査は非常に重要です。

様々な症状は脊柱や関節の機能異常による神経の伝達障害と関節の連動性、筋バランスの異常の問題が根本原因と考えられています。 


その検査により、『今のカラダ』の異常レベルを確定し、患者様の検査をしないで施術をするのはリラクゼーションと同じです。
その為当施設では、初診、再初診の患者様には初回お時間をとって頂き、総合的な検査を必ず行います。

 

首を後ろに倒すと痛いワケ


首が上を向くときは首だけで動くことはありません。
背中の「胸椎」と連動して動きます。

だから背中の柔らかさがなくなることが上を向いた時の「痛み」の原因の1つになります。
カラダには連動性が必要なのです。

首の痛みは首だけの問題ではありません。
 

体温と健康


体温が低いことがカラダには大きな問題となります。
免疫力が下がったり、ガン細胞は体温が低いのを好むとも言われています。
また体温が低いということは自律神経との関連もあり、首との関連が考えられます。
多くとの関連がある「この体温!」を、平熱まで体温を高めるとカラダは大きな変化が生まれます。
 

骨は熱に弱い


骨と筋肉はタンパク質が多く存在します。
そのタンパク質は『熱』に弱いことは有名な話です。
タンパク質は「熱変性する!」ということは皆さまが知っている事です。

なぜ医療機関やTVでは「温めろ!」というのか!!
その理由を記載しました。
 

組織が固くなる理由


痛みが出ると患部を守ろうとします。
痛みが出ないように動かさなかったり、自然に痛みが出ないようにかばったりします。

痛みが出ないようにするには、「固定」して動かさなければ痛みは出にくくなります。
しかし、痛みがなくなった後は固まり動かなくなります。
 

組織が固くなる理由と
柔らかくなる理由


組織が固くなる理由は、「固定」したり「動かさない」ようにすれば可動域は失われます。
しかし、逆に固まった組織をどうすれば元に戻すことができるのか!
それは、固まった組織に「刺激の強さ」と「刺激の頻度」をどれくらいアプローチできるかで変わります。

カラダを変えるには「刺激」と「頻度」が大切です。
 

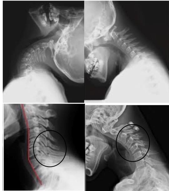
ストレートネックになる原因


ストレートネックはデスクワークなどで多く頭が前に出ることにより発生します。
アタマが前に出ると首への負荷が高まり、筋の緊張はドンドンドンドン高まっていきます。

当然、デスクワークなどは首だけの問題ではなく、姿勢の問題も大きく関与してきます。
 

安静がいけない理由


痛みがあると「安静」にしたり「固定」したりすると思います。
固定すると痛いは軽減されますが、固定することにより可動域を失います。
一概に、痛ければなんでも「固定」する方が多いですが、デメリットもたくさんあります。
 

運動療法を併用しカラダを再構築


痛みを繰り返さないカラダを作ることが将来、元気なカラダで老後を迎えられます。
とても大切なカラダを維持・向上させるには、ベットに寝た施術のみでは不十分です。
積極的にカラダを動かしていく必要があります。
 

アクティブな徒手療法


カラダの根本を変えるには、ソフトでやさしく気持ちい施術では変わりません。
ある程度の刺激がなければ固まった組織に柔軟性は戻らないし、固まった関節は動くようにはならないです。
筋トレも低負荷ばかりをしていても筋肉はつかないのと同じです。
ある程度、積極的に刺激をいれていくことでカラダは変わっていきます。
 

カラダに対する考え方


カラダは変わると考えています。
カラダの問題点をみつけ、その問題を解決するために必要な計画的・継続的に施術を行うことで大きく変化します。

この当たり前のことをしていけば、カラダは変わります。
 

インピンジメント症候群


肩のインピンジメント症候群は、多くの方が経験する。
腕を上に上げたりした時に、瞬間的に「ピキッ!」と痛みが走るのが特徴になります。
このインピンジメント症候群は、首との関連や以前に肩をケガしていた過去があったり、黒板に字を書く動作で発症します。
 

腰が反るメカニズム


腰だけでなく、関節がある部分すべての話になります。
筋肉が緊張し、「ギュッ!」と凝り固まれば、筋肉は骨についていますので、骨が筋肉の収縮に誘導されて動いてしまいます。

その結果が、腰を反らしたり、ストレートネックにしたりしています。
 

内股がカラダに悪いワケとは・・・


内股になっていしまうと、股関節や膝関節などに捻じれが生じます。この関節への捻じれが形成されると股関節や膝関節への剪断力が加わり痛みを出す原因へと変化してきます。

内股・・・
絶対 ならない方がいいですよ!

 

動作評価とは・・


痛みが出る瞬間は必ず動いているときに起こります。止まっているときには痛みは出ません。動いているときのカラダの動かし方が悪いから痛みが出るのです。

だからこそ、今のあなたのカラダの動作がどうなっているのかを調べる必要があるのです。
 

筋が固まることの
デメリット


腰だけでな
 

膝が内側に入ることが痛める原因・・


膝が痛くなる原因はKnee-in(ニーイン)といって、膝が内側に入る結果、靭帯や半月板に負荷がかかることによって痛みが現れます。痛いかろレントゲン撮影をした結果、「骨が変形していますね!」となります。
骨の変形は、痛みを繰り返した結果でしかありません。
問題なのは、膝が内側に入ることが大きな問題になります。

パソコン|モバイル
ページトップに戻る