東京都世田谷区祖師谷3-8-12  フェリーチェ祖師谷 1F

受付時間


月・火・木・金:9:00~13:00
        15:00~20:00
    水曜日:10:00~13:00     
   土曜日:9:00~13:00
                     15:00~17:00
定休日:日曜

首を後ろに倒すと痛いワケ!!

首痛・肩こりでお悩みの方、必読です!!

アタマが前に出ると通常の2倍3倍の重さになる


首に問題がある方の症状の1つとして、『上を向くと首の付け根につまり感を感じる!』があります。

なぜこのつまり感を感じるのでしょうか?

このようにデスクに8時間も向っていると首と腰が痛くなります。
この時にどのようなメカニズムで、上を向くと痛みが出るか説明いたします。

  

上を向くと首に痛めを感じるメカニズムの3つの理由

1、 姿勢が悪いことにより首への負荷がかかりすぎる

 

2、 首の中でも動きやすい場所、動きにくい場所にわかれる

 

3、連動した動きがないために痛みや違和感を感じる

 

4、どうすれば解決策するのか

 

姿勢が悪いことにより首への負荷がかかりすぎる

頭を支えるために筋が凝る


まずはイラストを見てください。
先ほどの椅子に8時間も座っていると■の部分にコリや張り感を感じると思います。

それは、椅子に座わり正面をみてPCをみていますが、実際は背中が丸まっているため、ずっと上を向いている状態と同じになります。
真正面を向いたまま背中を丸くすると顔は下向きます。

それではPCをみれませんので、代償して顎を上げる動作になります。顎を上げる筋組織は後頭下筋群といい、


これを1日 8時間続ければ当たり前のように筋疲労し、緊張します。

後頭下筋群と頭痛の関係詳細はこちらへ

肘を伸ばすか曲げるかで負荷が変わる


頭が前に出る事により頭の重さを支える首への負荷も多くなる。
通常の頭は体重の8%あります。 平均は約5kgです。


それが、頭の位置が5cm 10cmと前にいくと頭の重さが20kg 30kgと首にかかる負荷が変わります。


頭の重さは変わらないのだが、頭が前に出る事で首の筋肉で頑張って支えることになる。
そうなると、首の筋肉に負担がかかることになる。

 

ではどの首の筋肉なのか?

ここでのテーマは、『上を向くと首の付け根につまり感を感じる!』させる原因の筋は、

1、肩甲挙筋
2、大・小菱形筋
3、僧帽筋
4、上後鋸筋

 

頭の位置の変化で頭の重さが変わる



また同様に、背中の部分も丸くなるため筋線維は引っ張られて緊張します。

 

 

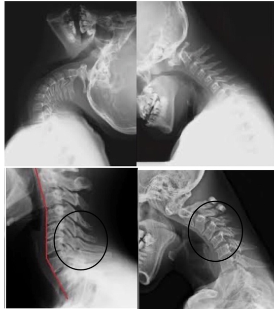
首の中でも動きやすい場所、動きにくい場所にわかれる

〇は過剰に動いてしまう


■はコリ感や張り感を感じるだけでなく、構造的に動きを失いやすい場所になります。
関節の動きを失う原因としては、2つあります。


1つは、関節が多く存在している場所は剛性が強くなりやすいため可動域を失いやすい
2つ目は、筋が色々の方向に、また複数の筋が存在するため癒着しやすい

 

そのため、頸椎の中でも上部は可動性が失われやすい場所になっているし、胸椎も可動性が失われやすい場所になります。
よって、動きやすい部位と固まる部位に分かれるように構造的になります。

 

上位頸椎と上位胸椎が固まりやすくなりやすい場所になり、過剰に動いてしまう下位頸椎にヘルニアが多くなります。

 

 

シワの部分は過剰に動くことを表している


首の後ろにこのようにシワがある場合は、過剰にうごいている証拠にもなりますのでチェックしてみてください。

結果、首 肩甲骨まわりの筋の緊張により肩甲骨を上に引き上げる (肩をすくめるような姿勢になる)。
(これが傷害へとつながるケースは多いです)

筋の緊張により左右差がある

 
このように左右の肩甲骨の位置の違いがわかるでしょうか?
左右の高さも違いますし、傾き方にも違いがあります。

 

背中をみて肩甲骨の位置異常があったら、かなり首・肩・肩甲骨周囲の筋バランスが崩れていることがみてわかります。

 

 

連動した動きがないために痛みや違和感を感じる

画像の説明を入力してください


首から背中まで連動した関節の動きがある事がとてもたいせつになる。
脊柱の柔らかな動きが必要なのだが、これをみてわかるように背中の柔らかさがないことがわかる。


本来は首から背中までの柔らかさがあるはずだが、日常生活の中で失われていく。

どうすれば解決するのか


解決策は非常に簡単です。
13の問題を解決していけばいいだけです。
よって、簡単にいうなら■の部分のうごきを作れば問題は解決されます。


しかし、ヒトによっては他にも問題があるから何とも言えない部分ではありますが、当施設ではカラダ全体を8項目の検査をしてからアプローチに入っていきます。

検査すべき8つのポイント!!

姿勢骨格分析画像検査
動作評価
✔整形外科検査
✔関節可動域検査
✔運動神経検査
✔感覚(知覚)神経検査
✔自律神経検査
✔筋肉検査

首痛・肩こりの解消はシンプルに!


8種類の検査で痛みを出す根本的な原因をみつけたら、次はどうすれば問題が解決できるか。

よく医療機関では、なんとか療法、〇〇矯正、メジャーリーガーも使う最新の物理療法などを強みに出しておりますが、カラダに関わる大切な医療機関などが「今これが流行り!」とかあってはいけないと思います。

「今流行っている」モノよりも純粋にヒトのカラダは筋・関節・神経で動いており、その機能を戻したりする方がカラダの本質的な問題解決になっていると思います。

 

筋・腱・靭帯の動きを作る

首・肩こりの筋・腱の柔軟性を作る


長時間のデスクワークまたは、長時間の不良姿勢によるPC・スマホの使用により、背中が丸まり、頭部を前方に移動させる。
そうすることで
首から背中全体に持続的な筋のコリが起きる。

コリの期間が長ければ長いほど、筋・関節は癒着し可動性を失う。
当然、筋・腱・靭帯は硬くなってますし、関節の動きも制限します。
いわゆる、『
関節拘縮』というものです。

安静にしても、
現状何も変わりません
筋・腱・靭帯をどのように変えていけるかが第1の課題です。
そのため、筋の緊張をなくし、伸び縮みを作る。

関節の動きも作らなければ
カラダは変わらない
悪かった期間が長ければカラダが変わるまでの期間にも変化があります。

首・背中・腰と柔らかい脊柱を作る

首・肩こりを除去し動きの連動を作る

 

首と頭は、胴体部分と連結してつながっています。
首の問題を解決するには、背中の可動域がものすごく重要になります。本来は、首・背中と連動して動くはずなのに、背中が固まって動かない状態だと局所への負担が大きくかかります。

胴体にある骨は、胸椎・肋骨・肩甲骨・鎖骨など。
これらの関節が首と一緒に連動して動く
しなやかに動くからこそ局所への負担が蓄積せずキャパを超えないため痛みも出ないようになります。

痛みを繰り返すから筋肉が固くなったり、関節の動きの制限を作ったり、痛みが出やすいカラダを作ってしまいます。首だけの問題ではなく、どうやったら局所への負担を軽減させられるか!!
それは脊柱の連動性です。

 

この脊柱の連動性が大事な要因になります。

ストレスをためない

首・肩こりはストレスとの関係がある

 

仕事でストレスがたまると『歯ぎしり・噛みくせ』をしてしまいます。『歯ぎしり・噛みくせ』は、首の筋をかたくさせるため、頭痛や寝違いを起こす原因の1つになります。

歯ぎしり・噛みくせ・ストレス・首痛いのワードで引っかかる場合は、『自律神経』の関与も視野にいれる必要があります。


もし、噛みくせがあるなら、舌を上に押しつけることで、噛みくせは解消されます!

筋の機能を正常に回復させる運動療法をする

首・肩こりは運動する事でカラダは変わる


筋の緊張がなくなり、関節が動くようになったら、痛みが出ないカラダを作らなければなりません。

当施設の運動療法は漠然とした運動ではなく、カラダの問題点に対してアプローチしていきます。
例えば、筋肉といっても色々な形態があります。

筋肉が「縮んだ筋肉」や「伸びきった筋肉」「神経伝達しなくなり収縮しない筋肉」などなど色々あります。

これらに対してカラダを動かして刺激を入れて機能を回復させていきます。

カラダの問題点にアプローチする

首・肩こりも問題点へのアプローチ


筋肉が硬い!だから、マッサージして筋肉を緩めましょう。

カラダが硬い!
だからストレッチしましょう。

ここの筋肉が弱い。
だから筋トレしましょう!!

骨盤が歪んでいます。
だから骨格を整えましょう。

よく耳にする言葉ですが、これでは痛みを出す根本原因へのアプローチにはなりません


痛を出す本質的な問題点を8項目の検査でみつけ、その痛みを出す原因に対して積極的にアプローチしていく事でカラダは変わっていきます。

積極的なアプローチとは、気持ちいいリラクゼーションではなく、固まっている筋や関節の動きを積極的に作ること。
積極的に何度も何度も刺激を入れて動かすことで動かなかった関節も動いてくる。
動いてきた関節を次は自分で運動療法を行うことにより筋が収縮することにより関節が動く。

結果、自分で関節を動かせるようになる。
これを繰り返し繰り返し行うと、本質的なカラダの問題が解決する。

 

当施設のアプローチを利用された方

階段や歩いている時のひざ痛

世田谷区のS.Tさん(60歳)

階段や段差などの時に膝が痛く、こちらを受診しました。
今は受診して1か月目ですが、以前より歩きやすくなりました。

運動もただモモの前のトレーニングだけでなく、お尻のトレーニングとか、「なぜこれをしないといけないのか!」を教えてくれるから納得します。

首痛・腰痛

世田谷区のT.Mさん(55歳)

今までずっと首に違和感があり、左に向くと痛みを感じていました。

また15年来の腰痛もあり、毎日の立ち仕事がとてもつらく感じておりましたが、何度か通うようになったところで首の痛みは消えラクになってきました。

今後は腰痛の方も改善されればと期待しております。

院内の環境もキレイで気持ちよく施術が受けれます。

施術 料金

 

当院で受けられる施術料金をご案内します。
※表記はすべて税込金額です。

当施設は、施術と運動療法を提供いたします。
しかし、初診時から運動療法を提供するわけではありません。
あくまで、セラピストの判断で運動療法のメニューを作成いたします。

基本料金表

検査料 2,000円
施術料金 5.000円
2回目以降 5.000円

高校生以下の料金表

検査料 2,000円
施術料金 6.000円
2回目以降 6.000円

<はじめての方へ>

  • お支払いは、現金、クレジットカード、電子マネーはお取扱いしております。
  • 領収書が必要な方は、お申し付けください。
  • やむを得ず予約をキャンセルされる場合は、お電話にて、できるだけ早めにご連絡ください。

それでも首が痛くてにお困りなら

あなたの首痛肩こりお悩みを解決します!​

代表の佐藤です。

あなたのお悩みを解決します!​

病院で治らない首痛は当施設にお任せください!

痛みが解消された方が多数いらっしゃいます!
当施設は、8項目の検査を用いて痛みを出しているからだの問題をみつけ、根本的な原因へのアプローチを提供します。


8項目の検査の詳細はこちらをタップ


徒手アプローチでは、動かない関節のうごきを作ります。
そのために筋の伸び縮みを作り、首・背中・体幹のうごきを作ります。

運動療法では、弱くなった筋・かたくなった関節をご自身でも動かしてもらい、できるだけ自分でご自宅でも筋トレをして痛みを解消する努力もしていただきます。

痛みとは、『カラダが限界ですよ!』と教えてくれるサインになります。
その大事なサインを『痛み止めのロキソニン内服薬』で押さえ込まないで、痛みが出ないからだを作るという発想の転換が必要になります。


痛みが出ないこと=仕事に影響が出ないこと  になります。
上を向くと痛い首の問題は、『関節・筋肉・神経』 この3つへのアプローチが必要になるからです。
ただ、上を向くと痛みを感じる場所は首ですが、痛みを出す原因は違う場所にあることが多いです。


この原因へのアプローチが大切になります


特に、毎日デスクワークをしている方の首の痛みは、必ず運動療法(筋トレ)が必要になります。
ヒトのカラダは神経の命令により筋肉がちぢんで骨が動く。
筋肉だけがゆるんでも意味はない。
神経からの命令により筋肉が働き、関節の安定性を作る。


この過程がないとカラダは安定せずに再発しやすいワケになります。

営業時間

診療時間

9:00~13:00

× ×
15:00~20:00 × × ×
9:00~17:00            

お電話でのお問合せはこちら

03-6310-9150

関連するページのご紹介

こちらのページを読んだ方には、下記のページもよく読まれています。ぜひご一読ください。
※下記のリンクから、本ページと関連するページのリンクを設定してください。

パソコン|モバイル
ページトップに戻る