東京都世田谷区祖師谷3-8-12  フェリーチェ祖師谷 1F

受付時間


月・火・木・金:9:00~13:00
        15:00~20:00
    水曜日:10:00~13:00     
   土曜日:9:00~13:00
                     15:00~17:00
定休日:日曜

   変形性膝関節症の可動域をひろげる方法があります!

 

     変形性膝関節症でお悩みの方、必読です!!

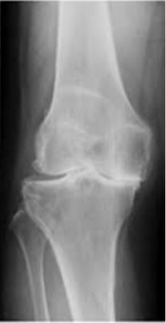
変形性膝関節症の進行度合い

このようなお悩みありませんか?

変形性膝関節症だと、やってはいけないことってなんだろ?
痛みは緩和するの?
手術ってどうなの?

手術はしたくない! 何か方法はある?


このような内容を理解することができます。

変形性膝関節へどんな対応をしたらいいのかお悩みのあなたへの情報です。

正しい知識を身に付けることで結果が変わる


変形性膝関節症の初期は50代からはじまり、歳を重ねていくごとに変形は進行していきます。
変形性膝関節症の方は、やってはいけない事があります。


やってはいけないことは、痛みを何回も繰り返さないこと!
痛みを繰り返すから骨はどんどん変形していき、最終的には末期の変形になります。

骨は熱に弱いの詳細はこちらをタップ

病院でレントゲン・CT・MRIを撮って、『膝の変形がある。手術しか方法はない!』と医師から言われることがよくあります。


変形性膝関節症の完治は手術しなくてはいけないが、手術前の可動域が術後の可動域の目安になる事はあまり知らない事なので膝関節で悩まれている方は知っておいた方がいい情報になります。


また手術をしたから、『痛み』も『可動域』もすべてがなくなる事でもありません。
手術のメリットは、痛みの除去、可動域拡大、日常生活の質の向上などたくさんありますが、手術だけしたからすべてが一気に改善されるわけではないのです。


手術をする前からの準備が必要になります。
膝関節の可動域を拡げる事だったり、術後の流れだったり知るべき情報はたくさんあります。
それらの情報を知らずに、手術に挑むと『こんなはずじゃなかった!』とか『手術前と何も変わらない』などという話になってきます。


正しい情報や正しい流れ・正しいアプローチをしていく事が『成功!』となります。
よって、『正しい診断』、『正しいアプローチ』があり、準備し、備える事が『成功!』になります。


実際に変形性膝関節症を完治させるには手術しかありません。
完治はしませんが、しかし、現状を変えることはできます。

そのために必要なことがあります。
 

変形性股関節症の現状を変える5つの方法

筋・腱・靭帯の動きを作る
✔関節の拘縮をはがしていく
✔弱くなった筋の機能を正常に回復させる

✔マッサージをリハビリという医療機関
✔筋肉痛にならないトレーニングは運動療法ではない

筋・腱・靭帯の動きを作る

変形性膝関節症の組織は癒着しています


変形性膝関節症の方は長いあいだ悩まれています。
体幹・膝関節周囲の筋・腱・靭帯は硬くなってますし、関節の動きも制限します。いわゆる、『関節拘縮』というものです。


何年もの間、痛みが強いため動かさずに安静にしていると思います。安静にすることが、『痛みの緩和』と認識している人もいるでしょう。


これはやってはいけない大きな間違いになります。

安静にしても、現状何も変わりません。
筋・腱・靭帯をどのように変えていけるかが第1の課題です。
安静にしても手術へと進んでいきます。

変形性膝関節症になってしまったら、ご自身で変える事はかなりむずかしいというか不可能です。
膝関節が痛いくらいでしたらまだ対応できますが、変形性膝関節症だと厳しいものがあります。

  • 関節の拘縮をはがしていく

変形性膝関節症は癒着をはがす必要がある


変形性膝関節症でやってはいけない事があります。
それは、痛みを何回も繰り返すことです。
痛みを繰り返すと『炎症』を何回も繰り返すことになり膝関節の可動域がどんどん狭くなっていきます。

また『炎症』があるとズキズキ痛みがあり動かさなくなります。それがまた、どんどん可動域が狭くなっていきます。

安静にすると痛みが緩和してカラダはラクになりますが、膝関節にとってはマイナスになります。

だから、動かすことは絶対に必要ですが、なんとなく動かすと痛みが出やすいため注意が必要です。
そこの加減が非常に経験が必要です。
手術の決定は、膝関節の変形度合いも関係ありますが、1番必要なのは、『痛み』と『日常生活の質』になります。

だから、『痛み』と『日常生活の質』を少しでも変えることができれば手術からは遠ざかることになります。

  • 弱くなった筋の機能を正常に回復させる

変形性膝関節症は運動療法が必須


長い間、筋肉を使っていないため、筋の機能・神経の機能・関節の役割を失っています。
ヒトのカラダは神経の命令により筋肉がちぢんで骨が動く。

筋肉だけがゆるんでも意味はない。
神経からの命令により筋肉が働き、関節の安定性を作る。
この過程がないとカラダは安定せずに痛みを繰り返すワケになります。

変形性関節症の方は、筋肉の肥大ではなく、いかに安静にして刺激を入れていなかった神経への刺激が入れられるかが分かれ道になります。

動く=筋肉 ではなく、動く=神経 だという事になります。

やってはいけないことは、『安静』です。

痛いから安静にしたり、リラクゼーションのようなマッサージなども変形性関節症には効果はありません。

膝まわりの癒着を引きはがして可動域を広げる方法しかありません。

  • マッサージをリハビリという医療機関

変形性膝関節症はマッサージでは変化なし

リハビリ・治療という名のリラクゼーションやマッサージをしている医療機関は山ほどあります。

別にそのことを悪くいうつもりは全くありませんが、変形性関節症の方からすれば『手術!』という時間が迫っているという認識が必要になります。


マッサージが悪いわけではありません。
変形性膝関節症の問題は、『関節・筋肉・神経』 この3つへのアプローチが必要になるからです。


ただ、変形性膝関節症の痛みを感じる場所は膝関節ですが、痛みを出す原因は違う場所にあることが多いです。


治療という名のリラクゼーションを受けていて、手術待ち状態にならない事です。

 

 

  • 筋肉痛にならないトレーニングは運動療法ではない

変形性膝関節症の運動療法は必須です


TVや雑誌、医療機関で紹介される膝関節に効くトレーニングなどは負荷が軽いモノのみしか提供しません。


前提として、『痛みを出さないように運動をさせる』という事がメインになっていると思います。


この『痛みを出さないように』という考え方が変形性膝関節症を少しでもいい方向にさせるという前向きの考え方ではないことがわかります。


『手術したくない!』という気持ちがあるならば、運動療法での身体への負荷量も少しずつ上げていかなければなりません。


でなければ、自分の身体を支えて歩く・出かけるという事はできないでしょう。
まずは、軽い負荷から、そして少しずつ負荷を上げていくことが『日常生活の質』が高まっていくのではないでしょうか?
 

当施設のアプローチを利用された方

階段や歩いている時のひざ痛

世田谷区のS.Tさん(60歳)

階段や段差などの時に膝が痛く、こちらを受診しました。
今は受診して1か月目ですが、以前より歩きやすくなりました。

運動もただモモの前のトレーニングだけでなく、お尻のトレーニングとか、「なぜこれをしないといけないのか!」を教えてくれるから納得します。

首痛・腰痛

世田谷区のT.Mさん(55歳)

今までずっと首に違和感があり、左に向くと痛みを感じていました。

また15年来の腰痛もあり、毎日の立ち仕事がとてもつらく感じておりましたが、何度か通うようになったところで首の痛みは消えラクになってきました。

今後は腰痛の方も改善されればと期待しております。

院内の環境もキレイで気持ちよく施術が受けれます。

施術 料金

 

当院で受けられる施術料金をご案内します。
※表記はすべて税込金額です。

当施設は、施術と運動療法を提供いたします。
しかし、初診時から運動療法を提供するわけではありません。
あくまで、セラピストの判断で運動療法のメニューを作成いたします。

基本料金表

検査料 2,000円
施術料金 5.000円
2回目以降 5.000円

高校生以下の料金表

検査料 2,000円
施術料金 6.000円
2回目以降 6.000円

<はじめての方へ>

  • お支払いは、現金、クレジットカード、電子マネーはお取扱いしております。
  • 領収書が必要な方は、お申し付けください。
  • やむを得ず予約をキャンセルされる場合は、お電話にて、できるだけ早めにご連絡ください。

それでも変形性膝関節症にお困りなら

あなたの膝痛お悩みを解決します!​

代表の佐藤です。

あなたのお悩みを解決します!​

病院で治らない変形している膝痛は当施設にお任せください!

痛みが解消された方が多数いらっしゃいます!
当施設は、8項目の検査を用いて痛みを出しているからだの問題をみつけ、根本的な原因へのアプローチを提供します。


8項目の検査の詳細はこちらをタップ


徒手アプローチでは、動かない関節のうごきを作ります。
そのために筋の伸び縮みを作り、首・背中・体幹のうごきを作ります。

運動療法では、弱くなった筋・かたくなった関節をご自身でも動かしてもらい、できるだけ自分でご自宅でも筋トレをして痛みを解消する努力もしていただきます。

痛みとは、『カラダが限界ですよ!』と教えてくれるサインになります。
その大事なサインを『痛み止めのロキソニン内服薬』で押さえ込まないで、痛みが出ないからだを作るという発想の転換が必要になります。


痛みが出ないこと=仕事に影響が出ないこと  になります。
変形している膝の問題は、『関節・筋肉・神経』 この3つへのアプローチが必要になるからです。
ただ、膝の痛みを感じる場所は膝ですが、痛みを出す原因は違う場所にあることが多いです。


この原因へのアプローチが大切になります


特に、膝の痛みは、必ず運動療法(筋トレ)が必要になります。
ヒトのカラダは神経の命令により筋肉がちぢんで骨が動く。
筋肉だけがゆるんでも意味はない。
神経からの命令により筋肉が働き、関節の安定性を作る。


この過程がないとカラダは安定せずに再発しやすいワケになります。

営業時間

診療時間

9:00~13:00

× ×
15:00~20:00 × × ×
9:00~17:00            

お電話でのお問合せはこちら

03-6310-9150

関連するページのご紹介

こちらのページを読んだ方には、下記のページもよく読まれています。ぜひご一読ください。
※下記のリンクから、本ページと関連するページのリンクを設定してください。

パソコン|モバイル
ページトップに戻る