東京都世田谷区祖師谷3-8-12  フェリーチェ祖師谷 1F

受付時間


月・火・木・金:9:00~13:00
        15:00~20:00
    水曜日:10:00~13:00     
   土曜日:9:00~13:00
                     15:00~17:00
定休日:日曜

          膝が伸びない 変形性関節症の方!!

 

         膝が伸びなくてお困りの方 必読です!!

年齢・進行と変形性膝関節症

このようなお悩みありませんか?

変形性膝関節症と診断されたが、膝が伸びない・・・

手術って言われたけど、まだしたくない!

そしたら、モモの前を鍛えてくださいと言われた。。。
リハビリでは、かるくマッサージしてくれてるけど変化なし・・・

この変形性膝関節症は、どうすればいいの?
どうしたらいいのがベストな選択なの?

今後、どうなるの?

 

正しい知識を身に付けることで結果が変わる

 

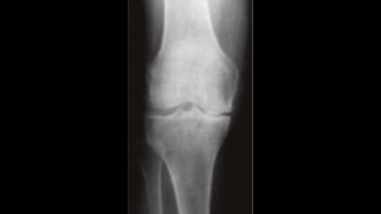
形性膝関節症の初期は4050代ではじまり、歳を重ねていくごとに変形は進行していきます。

痛みを繰り返すから骨はどんどん変形していき、最終的には末期の変形になります。

病院でレントゲン・CT・MRIを撮って、『膝関節の変形がある。手術しか方法はない!』と医師から言われることがよくあります。

変形性膝関節症の完治は手術しなくてはいけないが、手術前の可動域が術後の可動域の目安になる事はあまり知らない事なので膝関節で悩まれている方は知っておいた方がいい情報になります。

また手術をしたから、『痛み』も『可動域』もすべてがなくなる事でもありません。
手術のメリットは、痛みの除去、可動域拡大、日常生活の質の向上などたくさんありますが、手術だけしたからすべてが一気に改善されるわけではないのです。

手術をする前からの準備が必要になります。
膝関節の可動域を拡げる事だったり、術後の流れだったり知るべき情報はたくさんあります。

それらの情報を知らずに、手術に挑むと『こんなはずじゃなかった!』とか『手術前と何も変わらない』などという話になってきます。
正しい情報や正しい流れ・正しいアプローチをしていく事が『成功!』となります。

よって、『正しい診断』、『正しいアプローチ』があり、準備し、備える事が『成功!』になります。
実際に変形性膝関節症を完治させるには手術しかありません。
完治はしませんが、しかし、現状を変えることはできます。

そのために必要なことがあります。
それは、変形性膝関節症の曲がらない膝についての内容について理解する。
 

なぜ膝が伸びないようになるのか!?

伸びない膝痛は組織の癒着

 

ヒトのカラダは、安静にしたり動かさない期間が長いとカラダはドンドン硬くなっていきます。

例えば、足を捻挫しました。
2ヶ月間、足をギプス固定すると可動域がかなり失われます。
その変わり安静にした効果として、組織の修復が得られます。

組織が修復する過程で筋や腱、靭帯の弾力性が失われます。または、組織同士での癒着が形成されます。
癒着が形成されると関節をまたぐ筋などの組織が関節の動きに制限をかけます。

痛みが起きると、安静にしたり、かばったりして患部を守ろうとします。
その結果が、組織の癒着を生み、関節の動きを制限させる要因になります。

要するに、痛みや炎症を繰り返すことが関節の動きの制限を作る要因になります。

 


 

伸びない膝に必要なことは!?

伸びない膝には積極的なアプローチ

 

ヒトの動きは、まず脳から筋肉を動かせと命令を出します。
そして筋肉が収縮することにより、関節の動きが作られます。

長い間、筋肉を使っていないため、筋の機能・神経の機能・関節の役割を失っています。
ヒトのカラダは神経の命令により筋肉がちぢんで骨が動く。

筋肉だけがゆるんでも意味はない。
神経からの命令により筋肉が働き、関節の安定性を作る。

この過程がないとカラダは安定せずに痛みを繰り返すワケになります。
変形性関節症の方は、筋肉の肥大ではなく、いかに安静にして刺激を入れていなかった神経への刺激が入れられるかが分かれ道になります。

よって、積極的なアプローチにより組織の癒着剥離、
そして関節の動きを正常化させる必要があります。
関節の動きとは、『転がり』と『滑り』の関節の動きをメインに作っていくことが大切になります。

施術による積極的なアプローチで関節の動きが作れた。そしたら、次は自分自身でカラダをコントロールできるようになる必要があります。

そのために動きやすくなった関節を運動療法で動きを修正する。
長い間、筋肉を使っていないため、筋の機能・神経の機能・関節の役割を失っています。
ヒトのカラダは神経の命令により筋肉がちぢんで骨が動く。

この基本的な正しい動作・関節の動きを作る!
筋の機能回復させ、関節の動きを正常にする。
運動療法ではここをベースに提供していきます。

ストレッチや筋トレも週1回したからといって柔らかくならないし、筋力もつかない。
と同じように変形性膝関節症も週1回では変化は出ません。最低週2回が必要になります。

 

モモの前の筋肉を鍛えて痛くなくなるのか!?

歩行時の筋電図 引用

 

ももの前の筋肉を鍛えろ!
とよく耳にすると思います。

これは大腿四頭筋を鍛えましょう!
ということになります。

なぜ、筋肉を鍛えると痛みは消えると言われているのか!?


インターネットで調べてみると、

・太ももなどの筋肉を増やすことと適度に運動することは痛みをやわらげる効果がることから、近年、注目されているのが運動療法と体操療法。

・有酸素運動の水中ウォーキングや自転車こぎ、重力のかからない体操

などが出てきますが、大腿四頭筋を鍛えると痛みが和らぐ明確な理由はわかりませんでした。

また、膝が痛く行動範囲や活動量が少なくなると大腿四頭筋は弱くなります。
ここに歩行時の筋電図があります。
イラストをみるとわかるように、歩いているときに大腿四頭筋はどれほど使われているでしょうか!

TVなどでは、膝痛には大腿四頭筋だ!
と言われますが、ハムストリングスの方が活動量としては多いように感じます。
だから、ハムストリングスが1番大切だ!

と安易に考えてはいけません。

全ての筋肉に役割があり、それぞれの機能があるからこそキレイに動くことができます。

要するに、大腿四頭筋だけを鍛えても何も変わりません。
変形性膝関節症に対して変化を出していくには、
1、
関節の動きを作ること!

2、筋・腱・その他組織の機能回復させること!

3、運動療法で自分のカラダを動かせるようにすること!

が大切になります。

 

変形性膝関節症に対するアプローチ方法は!?

伸びない膝には積極的なアプローチ

 

変形性膝関節症により膝が伸びない方に対するアプローチは2つあります。

1つは、膝 患部の問題に対してのアプローチ。
そして、もう1つは患部外へのアプローチ。

膝から全身への影響である運動連鎖の修正アプローチを行います。
詳細は後ほどご説明いたします。

上記にも記載したように、膝関節痛に対するリハビリテーションの基本である関節の動きを作るアプローチを第1にします。

この動きをどうやって作っていくかいくつかのキーポイントになります。

1、膝関節の動きには、『転がり』と『滑り』があり、この動きを作る

2、半月板と接しているハムストリングスと腓腹筋の可動性を作る

3、ハムストリングスの収縮により半月板が動く膝を作る

4、大腿四頭筋と水固まる場所(膝蓋上鵬)の組織間の滑りを作る

この4つがキーポイントになります。


簡単にまとめますと、膝が伸びなくなりますと、膝関節内に炎症が起こります。『痛み』や『炎症』が関節内に起こると、関節をまたぐ筋・腱・その他組織は癒着します。それら組織が癒着することにより、関節の『転がり』と『滑り』の動きがなくなってしまいます。そのために、どうやって関節の『転がり』と『滑り』を作るのか!?



それが上にある4つが基本的なベースになり、関節の動きを作っていきす。
その後、膝の動きを作りながら、運動連鎖を考慮したアプローチに移行する必要があります。

膝が伸びなくなるメカニズム


これまで伸びない膝についてお伝えしてきました。

膝が伸びない状態だと近い将来 人工膝関節が待っていると考え不安になる方も多くいると思います。
しかし、その多くの方は膝の機能改善方法を知らない人がホントに多いです。
ただ言われたから、これをしている!

けど、痛みは変わらない!
そんな方は多くいます。

カラダがどのように悪くなって、将来どうなるかが理解できると自分での対応方法を知ることができる。
まずは、『今のカラダの状態を把握』して、『問題に対して正しいアプローチ』をする必要があります。

そのために今の現状を知るための8項目の検査!が必要になります。

 

検査すべき8つのポイント!!

姿勢骨格分析画像検査
動作評価
✔整形外科検査
✔関節可動域検査
✔運動神経検査
✔感覚(知覚)神経検査
✔自律神経検査
✔筋肉検査

膝痛の解消はシンプルに!



8種類の検査で痛みを出す根本的な原因をみつけたら、次はどうすれば問題が解決できるか。

よく医療機関では、なんとか療法、〇〇矯正、メジャーリーガーも使う最新の物理療法などを強みに出しておりますが、カラダに関わる大切な医療機関などが「今これが流行り!」とかあってはいけない。

「今流行っている」モノよりも純粋にヒトのカラダは筋・関節・神経で動いており、その機能を戻したりする方がカラダの本質的な問題解決になっていると思います。
 

 

かたまった筋・腱・靭帯の動きを作る

膝痛は組織の柔軟性を作る


 

長時間のデスクワークまたは、長時間の不良姿勢によるPC・スマホの使用により、背中が丸まり、頭部を前方に移動させる。
そうすることで首から背中全体に持続的な筋のコリが起きる。

可動域が狭い期間が長ければ長いほど、筋・関節は癒着し可動性を失う。
当然、筋・腱・靭帯は硬くなってますし、関節の動きも制限します。

いわゆる、『関節拘縮』というものです。
安静にしても、現状は何も変わりません。
筋・腱・靭帯をどのように変えていけるかが第1の課題です。

そのため、筋の緊張をなくし、伸び縮みを作る。
関節の動きも作らなければカラダは変わらない。
悪かった期間が長ければカラダが変わるまでの期間にも変化があります。

 

関節の動きを作るアプローチ

膝痛を除去し関節の動きを作る


 

「痛みを繰り返すこと」「長期間の不良姿勢」で関節が拘縮した。
だからこの固まった関節の動きを元に戻す作業が必要になります。

ただ筋肉をマッサージして筋の凝りをなくすだけでは姿勢の問題は解決されません。
関節は筋よりも深部にあります。

姿勢の問題解決には、筋肉の柔軟性も大切ですが何よりも大切なのは「関節の動き」「神経系の問題」になります。

関節の動きにも色々あります。

そる関節の動き!
捻る関節の動き!
丸まる関節の動き!
連動した関節の動き!

とそれぞれの動きがあります。
脊柱にはそれぞれ動きの役割があります。
役割がある関節が拘縮して動かなくなれば機能を失います。

関節の動く幅が狭くなることにより、筋肉が縮む・緩む機能もなくなり筋のポンプ作用がなくることで血液循環も悪くなる。
関節が動かなければ筋を柔らかくしても問題は解決しません。
筋肉の機能を最大限に活用するには、関節の動きを修正し、脊柱が連動して動く環境が必要になります。

だから気持ちいいマッサージではなく、背中から腰・骨盤の関節の動きを作るためのアプローチが必要になります。
しなやかに動くからこそ局所への負担が蓄積せずキャパを超えないため痛みも出ないようになります。
痛みを繰り返すから筋肉が固くなったり、関節の動きの制限を作ったり、痛みが出やすいカラダを作ってしまいます。

腰だけの問題ではなく、どうやったら局所への負担を軽減させられるか!
それは脊柱の連動性です。
この脊柱の連動性が大事な要因になります。
 

背中・腰・骨盤と柔らかい脊柱を作る

膝痛を除去し脊柱の連動性を作る

 

腰と骨盤は、胴体部分と連結してつながっています。

腰の問題を解決するには、骨盤と背中の可動域がものすごく重要になります。本来は、背中・骨盤と連動して動くはずなのに、背中が固まって動かない状態だと局所への負担が大きくかかります。

胴体にある骨は、胸椎・腰椎・肋骨・肩甲骨・鎖骨・骨盤など。
これらの関節が連動して動く。

しなやかに動くからこそ局所への負担が蓄積せずキャパを超えないため痛みも出ないようになります。

痛みを繰り返すから筋肉が固くなったり、関節の動きの制限を作ったり、痛みが出やすいカラダを作ってしまいます。首だけの問題ではなく、どうやったら局所への負担を軽減させられるか!!

それは脊柱の連動性です。

この脊柱の連動性が大事な要因になります。

 

弱化した筋・短縮した筋・伸張した筋を修正

膝痛の解決は運動療法


 

不良姿勢の問題が長いと筋の問題・関節の問題・神経の問題と色々合併します。
そこで筋には筋に対して適切なアプローチが必要になります。

関節の問題には関節へのアプローチ。
神経には神経のアプローチが必要になります。

弱くなった筋は、強化しなくてはいけません。
短縮した筋肉は、伸張できるようにしなくてはいけません。
伸張した筋肉は、短縮できるようにしなくてはいけません。

この弱くなった筋・短縮した筋肉・伸張した筋を修正するのは、ベッドに寝たおまかせの施術では修正できません。
だから、ただなんとなくのマッサージや、フィットネスジムでのトレーニング、ただ骨をボキボキならす骨格矯正、治療と謳う骨格矯正などでは姿勢の問題は解決しない理由です。

短縮してかたまった筋は手でアプローチし、弾力性を作ってから運動療法で筋の機能を回復させます。
伸張した筋は運動療法で筋に収縮する刺激を入れ伸張した筋を短縮させる。
弱くなった筋は刺激を入れ強化する。

この過程がない限り、カラダの機能は解消しない。
何度もいいますが、ただなんとなくのマッサージや、フィットネスジムでのトレーニング、ただ骨をボキボキならす骨格矯正などでは姿勢の問題は解決しない理由です。

 

荷重ポイントを修正する

荷重のポイントが変わると膝痛になる

 

姿勢が悪くなると、荷重ポイントが前側に変わります。

通常の荷重ポイントは、外くるぶしの下あたりになりますが、膝痛や股関節痛、腰痛になると荷重ポイントが変わる事が多くあります。

荷重ポイントが変わることにより、特定の筋への負荷が高まります。
筋の負荷が高まるため、結果、筋が短縮したり伸張したりします。

筋は骨に付いています。
筋が凝り短縮することで骨を誘導します。

例えば、荷重ポイントがつま先の前側で荷重するとももの前の筋肉が緊張するし、カラダが前に倒れないように、上半身をうしろにかばうどうさをします。

ももの前の筋と腰の筋肉が過剰に緊張しあって、結果的に骨盤を前傾させてしまいます。

色々な事が重なり合った結果がカラダの不調として出てきます。

当施設のアプローチを利用された方

階段や歩いている時のひざ痛

世田谷区のS.Tさん(60歳)

階段や段差などの時に膝が痛く、こちらを受診しました。
今は受診して1か月目ですが、以前より歩きやすくなりました。

運動もただモモの前のトレーニングだけでなく、お尻のトレーニングとか、「なぜこれをしないといけないのか!」を教えてくれるから納得します。

首痛・腰痛

世田谷区のT.Mさん(55歳)

今までずっと首に違和感があり、左に向くと痛みを感じていました。

また15年来の腰痛もあり、毎日の立ち仕事がとてもつらく感じておりましたが、何度か通うようになったところで首の痛みは消えラクになってきました。

今後は腰痛の方も改善されればと期待しております。

院内の環境もキレイで気持ちよく施術が受けれます。

施術 料金

 

当院で受けられる施術料金をご案内します。
※表記はすべて税込金額です。

当施設は、施術と運動療法を提供いたします。
しかし、初診時から運動療法を提供するわけではありません。
あくまで、セラピストの判断で運動療法のメニューを作成いたします。

基本料金表

検査料 2,000円
施術料金 5.000円
2回目以降 5.000円

高校生以下の料金表

検査料 2,000円
施術料金 6.000円
2回目以降 6.000円

<はじめての方へ>

  • お支払いは、現金、クレジットカード、電子マネーはお取扱いしております。
  • 領収書が必要な方は、お申し付けください。
  • やむを得ず予約をキャンセルされる場合は、お電話にて、できるだけ早めにご連絡ください。

それでも膝が伸びない変形性膝関節症の方!!

あなたの膝痛お悩みを解決します!​

代表の佐藤です。

あなたのお悩みを解決します!​

病院で治らない膝は当施設にお任せください!

痛みが解消された方が多数いらっしゃいます!
当施設は、8項目の検査を用いて痛みを出しているからだの問題をみつけ、根本的な原因へのアプローチを提供します。


8項目の検査の詳細はこちらをタップ


徒手アプローチでは、動かない関節のうごきを作ります。
そのために筋の伸び縮みを作り、首・背中・体幹のうごきを作ります。

運動療法では、弱くなった筋・かたくなった関節をご自身でも動かしてもらい、できるだけ自分でご自宅でも筋トレをして痛みを解消する努力もしていただきます。

痛みとは、『カラダが限界ですよ!』と教えてくれるサインになります。
その大事なサインを『痛み止めのロキソニン内服薬』で押さえ込まないで、痛みが出ないからだを作るという発想の転換が必要になります。


痛みが出ないこと=仕事に影響が出ないこと  になります。
伸びない膝の問題は、『関節・筋肉・神経』 この3つへのアプローチが必要になるからです。
ただ、膝の痛みを感じる場所は膝ですが、痛みを出す原因は違う場所にあることが多いです。


この原因へのアプローチが大切になります


特に、伸びない膝の痛みは、必ず運動療法(筋トレ)が必要になります。
ヒトのカラダは神経の命令により筋肉がちぢんで骨が動く。
筋肉だけがゆるんでも意味はない。
神経からの命令により筋肉が働き、関節の安定性を作る。


この過程がないとカラダは安定せずに再発しやすいワケになります。

営業時間

診療時間

9:00~13:00

× ×
15:00~20:00 × × ×
9:00~17:00            

お電話でのお問合せはこちら

03-6310-9150

関連するページのご紹介

こちらのページを読んだ方には、下記のページもよく読まれています。ぜひご一読ください。
※下記のリンクから、本ページと関連するページのリンクを設定してください。

パソコン|モバイル
ページトップに戻る