東京都世田谷区祖師谷3-8-12  フェリーチェ祖師谷 1F

受付時間


月・火・木・金:9:00~13:00
        15:00~20:00
    水曜日:10:00~13:00     
   土曜日:9:00~13:00
                     15:00~17:00
定休日:日曜

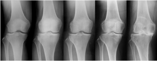
初期の変形性膝関節症を解消する方法があります

 

歩くと膝が痛い方、しゃがむと痛い方、必読です!!

40代の膝痛は変形性膝関節症の初期です

このようなお悩みありませんか?


病院に行ったけど、注射や薬だけ。。。
モモの前を鍛えてくださいと言われた。。。
かるくマッサージしてくれてるけどよくならない。。。

ほんとうに膝痛は解消されるんだろうか?
今後の膝はどうなっていくのか?


以前と同じようにスポーツが楽しめるのだろうか?
以前と同じように違和感なく歩けるだろうか?

って思っておりませんか?

そんなお悩みのあなたへの情報です。

マッサージや痛み止めでは変わらない


シップ薬やロキソニン薬などの痛み止めは、痛みには効くかもしれませんが、痛みを出している原因に対しては効果はありません。

膝を痛める原因があり、その原因に対してアプローチしないと変わりません。

あなたの膝痛を解決する方法があります!

膝痛を解決する3つの方法

  • 痛みが出る原因を特定する

  • 関節のうごきを作る

  • ︎動作を変える

  • 痛みが出る原因を特定する

膝痛を引き起こす場所を探す


歩くと膝が痛い! しゃがむと膝が痛い!
これらはよくある膝が痛い症状の1つです。

これから膝の痛みの原因についてお話していきたいと思います。

膝が痛い方の多くは階段を降りているときに、膝が内側に入ることが多くみられます。

この膝が内側に入ることが膝の関節の中で剪断力が生まれキズをつけてしまう事がある事は有名な話になります。
これは階段の上り下りだけでなく、歩くという動作でも膝は内側に入ります。

だから、膝が内側にはいるという事は、一歩歩けば膝にかかるストレスが通常より高くなる。
この膝が内側に入ることを繰り返す事が膝を痛める原因の1つになると言われています。

膝関節痛は膝だけの問題ではなく、膝がどう動きているのか?
「変形しているから仕方ない!」ではなく、動作が変われば必ず膝の状態は変わります。

膝の中をキズつけるメカニズム詳細はこちら

関節のうごきを作る

膝痛を解消するために動きを作る


膝関節には、3つの動きがあります。
それは、『ころがり』『すべり』『回旋』の
3つの動きになります。

膝が痛い方は特に、この『回旋』の動きがなくなる事が多くみられますが、そのほかにも『ころがり』『すべり』も制限されることは多くあります。

特に、膝の状態が悪くなればなるほど3つの関節の動きが制限されます。

 

TVや医療機関では『筋肉がないから痛いんだよ!』と耳にしますが、筋肉がしっかりと働くには関節が動かなければ機能しません。

関節が適切に動かない状態で筋トレしても大きな変化は出ません。

 

まだ40~50代の初期の変形性関節症なら、まだ全然間に合います。
膝の関節のうごきである『ころがり』『すべり』『回旋』のうごきを作る事がポイントになってきます。


この3つの『ころがり』『すべり』『回旋』の動きを作れば膝の機能は修正されますが、この機能を修正せずに筋トレをするといつまでも膝は痛いままになります。
 

動作を変える

膝痛の原因である動作を修正


膝の痛みがなくなったら終わりではありません。
膝が内側にはいることが解消しなければ同じように痛みを繰り返します。

施術により関節の動きである
『ころがり』『すべり』『回旋』を作ったら、膝が内側に入らないように動作を修正しなければなりません。

もし、膝が内側に入ったままでリハビリを終了すると、膝に同じストレスが加わり続けるためいつかまた痛みが出ます。


膝痛への運動療法は、膝が内側に入らないようにする動作修正と筋トレを行います。

当施設のアプローチを利用された方

階段や歩いている時のひざ痛

世田谷区のS.Tさん(60歳)

階段や段差などの時に膝が痛く、こちらを受診しました。
今は受診して1か月目ですが、以前より歩きやすくなりました。

運動もただモモの前のトレーニングだけでなく、お尻のトレーニングとか、「なぜこれをしないといけないのか!」を教えてくれるから納得します。

首痛・腰痛

世田谷区のT.Mさん(55歳)

今までずっと首に違和感があり、左に向くと痛みを感じていました。

また15年来の腰痛もあり、毎日の立ち仕事がとてもつらく感じておりましたが、何度か通うようになったところで首の痛みは消えラクになってきました。

今後は腰痛の方も改善されればと期待しております。

院内の環境もキレイで気持ちよく施術が受けれます。

施術 料金

 

当院で受けられる施術料金をご案内します。
※表記はすべて税込金額です。

当施設は、施術と運動療法を提供いたします。
しかし、初診時から運動療法を提供するわけではありません。
あくまで、セラピストの判断で運動療法のメニューを作成いたします。

基本料金表

検査料 2,000円
施術料金 5.000円
2回目以降 5.000円

高校生以下の料金表

検査料 2,000円
施術料金 6.000円
2回目以降 6.000円

<はじめての方へ>

  • お支払いは、現金、クレジットカード、電子マネーはお取扱いしております。
  • 領収書が必要な方は、お申し付けください。
  • やむを得ず予約をキャンセルされる場合は、お電話にて、できるだけ早めにご連絡ください。

それでも膝痛にお困りなら

あなたの膝痛お悩みを解決します!​

代表の佐藤です。

あなたのお悩みを解決します!​

病院で治らない膝痛は当施設にお任せください!

痛みが解消された方が多数いらっしゃいます!
当施設は、8項目の検査を用いて痛みを出しているからだの問題をみつけ、根本的な原因へのアプローチを提供します。


8項目の検査の詳細はこちらをタップ


徒手アプローチでは、動かない関節のうごきを作ります。
そのために筋の伸び縮みを作り、首・背中・体幹のうごきを作ります。

運動療法では、弱くなった筋・かたくなった関節をご自身でも動かしてもらい、できるだけ自分でご自宅でも筋トレをして痛みを解消する努力もしていただきます。

痛みとは、『カラダが限界ですよ!』と教えてくれるサインになります。
その大事なサインを『痛み止めのロキソニン内服薬』で押さえ込まないで、痛みが出ないからだを作るという発想の転換が必要になります。


痛みが出ないこと=仕事に影響が出ないこと  になります。
膝痛の問題は、『関節・筋肉・神経』 この3つへのアプローチが必要になるからです。
ただ、膝の痛みを感じる場所は膝ですが、痛みを出す原因は違う場所にあることが多いです。


この原因へのアプローチが大切になります


特に、膝の痛みは、必ず運動療法(筋トレ)が必要になります。
ヒトのカラダは神経の命令により筋肉がちぢんで骨が動く。
筋肉だけがゆるんでも意味はない。
神経からの命令により筋肉が働き、関節の安定性を作る。


この過程がないとカラダは安定せずに再発しやすいワケになります。

営業時間

診療時間

9:00~13:00

× ×
15:00~20:00 × × ×
9:00~17:00            

お電話でのお問合せはこちら

03-6310-9150

関連するページのご紹介

こちらのページを読んだ方には、下記のページもよく読まれています。ぜひご一読ください。
※下記のリンクから、本ページと関連するページのリンクを設定してください。

パソコン|モバイル
ページトップに戻る