東京都世田谷区祖師谷3-8-12  フェリーチェ祖師谷 1F

受付時間


月・火・木・金:9:00~13:00
        15:00~20:00
    水曜日:10:00~13:00     
   土曜日:9:00~13:00
                     15:00~17:00
定休日:日曜

半月板損傷の方 必読です!!

 

膝 半月板損傷のメカニズムが理解できます。

40代の膝痛は変形性膝関節症の初期です

このようなお悩みありませんか?

半月板損傷って言われたけど、もう治らないの?

モモの前を鍛えてくださいと言われた。。。
かるくマッサージしてくれてるけどよくならない。。。

ほんとうに膝痛は解消されるんだろうか?

マッサージや痛み止めでは変わりません


シップ薬やロキソニン薬などの痛み止めは、痛みには効くかもしれませんが、痛みを出している原因に対しては効果はありません。

半月板損傷が少しずつ変形を促進していきます。

ここでは半月板損傷についての内容が理解できます。

  • 半月板損傷とは何か!?

膝痛を引き起こす場所を探す

 

半月板とは膝関節にある三日月状の軟骨組織になります。
膝の内側と外側に1つずつあり、膝を安定させたり、歩いたり走ったりしたときのクッションのような役割を果たしています。

『半月板損傷』と聞くと三日月状の半月板から痛みを出すような印象を与えますが、半月板そのものは、軟骨で白いため血管や神経などはなく痛みを発することはありません。

筋肉は赤いため血が通っているから赤いのです。
そして、肉離れなどを引き起こすと内出血が出るのはそのためです。

この半月板損傷と聞くと、スポーツで膝を捻り半月板損傷を引き起こすとイメージがありますが、日常生活の中でもよく起こるゲガの1つです。

40歳くらいから日常生活の中で半月板損傷を引き起こすこともよくあります。
要するに半月板損傷は、スポーツでの傷害と日常生活でのゲガの2つに分類されます。

それらを2つを説明していきたいと思います。

膝の中をキズつけるメカニズム詳細はこちら

半月板損傷になりやすい原因がある

膝痛を解消するために動きを作る

 

『半月板損傷』になる原因は、2つあります。
1つは、スポーツ中の半月板損傷
2つ目は、日常生活の中での半月板損傷

の2つがあります。

ここでは、2の日常生活の中での半月板損傷について取り上げたいと思います。
膝が痛くなる原因や変形性膝関節症など膝が痛くなりやすい原因があるのです。

それは何かといいますと、階段昇降時やしゃがむ時に多くみられる膝が内側に入る動作になります。
これをknee-inといいます。
半月板損傷も同様に膝が内側に入ることがきっかけで膝を痛めることになります。

この膝が内側に入ることが膝の関節の中で剪断力が生まれキズをつけてしまう事があります。
そして、膝関節の同じ場所に繰り返し負荷がかかることにより、膝関節の中で『炎症』が生まれます。

この『炎症』が組織の滑走を失う原因になります。

半月板も本来は可動性があるのですが、『炎症』を繰り返したり、『膝が内側に入る動作』を繰り返すと、膝関節の半月板の滑走も失われ、年齢とともに硬くなる。

可動性を失った膝関節・半月板の状態で、振り向いて膝を捻ったり、コタツから立ち上がる動作などで半月板を損傷することはよくよくあることになります。


現に、テニスプレイヤーのフェデラーは振り返ろうとした際に、膝の半月板を損傷し、手術になりしている。
下記にその時の内容をつけます。

23日以来の初戦を控えた木曜日、フェデラーは双子の娘たちのためにお風呂の準備をしている際、振り返ろうとしたときに左膝が嫌な音を立てたのを聞いたと話した。

「単純な動きだったんだよ。たぶん、人生で何百万回とやってきたようなね」とフェデラーは言い、「そのときには何が起きたのか自分でもわからなかった」と続けている。

彼の膝はすぐに腫れ始め、数日後には内視鏡で半月板の再建手術を受けることになっていた。


 

半月板損傷をした方が辿る将来の膝

膝痛の原因である動作を修正

 

半月板損傷といっても、半月板そのものは、繊維軟骨とコラーゲンで出来ているので血行がありません。

つまり、神経もなく、半月板そのものは痛むことはありません。

ある研究では、膝関節の自覚症状のない方でも60才以上では41.7%に半月板損傷が発見された。

という研究データーもあります。

つまり、痛むのは半月板ではなく、その周りの筋肉や腱・神経などのその他組織ということになります。
40代の膝痛』でも記載していますが、骨は熱に弱いという構造的な問題があります。
繰り返される膝の痛みや、10代の時 スポーツでのケガなどがあると『膝の動き』に問題が起こります。


膝が内側に入る動作不良があると膝の同じ場合に同じストレスが加わり、痛みが出やすい環境が整ってしまいます。
膝が痛いと、膝に注射をしたり、痛み止めを飲んだり、モモの前の筋力強化などのリハビリをしたりすると思います。

痛いのは膝かもしれません。
しかし、痛みを出している原因は膝の中にはありません。
痛みを出している原因は、膝が内側に入ることだったり、関節の動きが正常ではないことになります。

だから、いくら治療しても『痛みが出ては消え』を繰り返すことになり、膝の変形を促進することになるのです。痛みを繰り返すのは、日常的に膝に負荷が加わる環境がある。
それを排除しなければなりません。

それは、膝が内側に入る動作になり、動作修正しなければ解消されません。
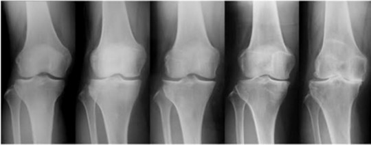
繰り返される痛みや炎症による変形促進させ、変形性膝関節症に移行する。
そして、最終的に70代くらいで人工膝関節を選択することになります。


 正常な膝

  

痛みが出た膝

  

痛みが繰り返される膝

  

初期 変形性膝関節症

  

末期 変形性膝関節症

へと移行する流れになっている。

初期 変形性膝関節症で食い止める必要がある。
でなければ、手術になる可能性が高くなっていく。
 

半月板損傷 膝から全身への影響

半月板損傷による運動連鎖

 

先程も記載しましたが、膝が内側に入ることが膝を痛くする原因になります。

しかし、膝が内側に入るのは膝だけに影響を与えるモノではありません。
全身への影響があります。


例えば、膝が内側に入ることで股関節が内旋します。
(内旋とは大腿を、骨の長軸を軸にしてコマのように回転させる動きを回旋といいます。)

股関節が内旋すると、腸骨(骨盤)が前傾します。

この股関節 内旋と腸骨(骨盤)の前傾が、腰・股関節へとストレスを増大させ痛みへと変わっていきます。
現に、反り腰と腰痛との関連性や股関節痛と腸骨の前傾・股関節 内旋との関係があります。

半月板損傷による全身への影響

 

そして、骨盤が前傾 股関節が内旋することにより、腰椎前弯が増強する。

腰椎前弯が増強すると、脊柱の配列に異常をきたします。
通常の脊柱の配列は、次の通りである。

頸椎は軽度前弯
胸椎は軽度後弯
腰椎は軽度前弯

である。

しかし、姿勢が悪くなったりすると、


軽度はストレートネック
胸椎は後弯増大
腰椎前弯増強

の脊柱に変化する。

そうなると、腰も痛い、首も痛い、背中も凝る など、膝が内側に入ることから色々な痛みを経験する可能性がある。

たかが、膝が内側に入ることによる半月板損傷だったかもしれませんが、10年後または20年後に膝だけではなく、カラダ全身への影響も考えられます。
ヒトのカラダは運動連鎖しております。

 

半月板損傷に対するアプローチ

半月板損傷に対するアプローチ

 

半月板損傷に対するアプローチは2つあります。
1つは、膝 患部の問題に対してのアプローチ。
そして、もう1つは患部外へのアプローチ。

膝から全身への影響である運動連鎖の修正アプローチを行います。詳細は後ほどご説明いたします。

まずは、膝 半月板損傷に対するアプローチ方法を説明します。
膝関節痛に対するリハビリテーションの基本である関節の動きを作るアプローチを第1にします。

この動きをどうやって作っていくかいくつかのキーポイントになります。

1、膝関節の動きには、『転がり』と『滑り』があり、この動きを作る
2、半月板と接しているハムストリングスと腓腹筋の可動性を作る
3、ハムストリングスの収縮により半月板が動く膝を作る

この3つがキーポイントになります。

簡単にまとめますと、半月板損傷になりますと、膝関節内に炎症が起こります。『痛み』や『炎症』が関節内に起こると、関節をまたぐ筋・腱・その他組織は癒着します。それら組織が癒着することにより、関節の『転がり』と『滑り』の動きがなくなってしまいます。そのために、どうやって関節の『転がり』と『滑り』を作るのか!?


それが上にある3つが基本的なベースになり、関節の動きを作っていきす。
その後、膝の動きを作りながら、運動連鎖を考慮したアプローチに移行する必要があります。

 

 

半月板損傷のメカニズム


これまで半月板損傷についてお伝えしてきました。

半月板損傷を起こすと将来の膝に大きな不安材料が残りますが、その多くの方は膝の機能改善方法を知らない人がホントに多いです。

ただ言われたから、これをしている!
けど、痛みは変わらない!
そんな方は多くいます。

カラダがどのように悪くなって、将来どうなるかが理解できると自分での対応方法を知ることができる。
まずは、『今のカラダの状態を把握』して、『問題に対して正しいアプローチ』をする必要があります。
そのために今の現状を知るための8項目の検査!が必要になります。
 

検査すべき8つのポイント

姿勢骨格分析画像検査
動作評価
✔整形外科検査
✔関節可動域検査
✔運動神経検査
✔感覚(知覚)神経検査
✔自律神経検査
✔筋肉検査

8項目の検査

 

8種類の検査で痛みを出す根本的な原因をみつけたら、次はどうすれば問題が解決できるか。

よく医療機関では、なんとか療法、〇〇矯正、メジャーリーガーも使う最新の物理療法などを強みに出しておりますが、カラダに関わる大切な医療機関などが「今これが流行り!」とかあってはいけない。

「今流行っている」モノよりも純粋にヒトのカラダは筋・関節・神経で動いており、その機能を戻したりする方がカラダの本質的な問題解決になっていると思います。

 

かたまった筋・腱・靭帯の動きを作る

画像の説明を入力してください

 

長時間のデスクワークまたは、長時間の不良姿勢によるPC・スマホの使用により、背中が丸まり、頭部を前方に移動させる。
そうすることで首から背中全体に持続的な筋のコリが起きる。

可動域が狭い期間が長ければ長いほど、筋・関節は癒着し可動性を失う。
当然、筋・腱・靭帯は硬くなってますし、関節の動きも制限します。

いわゆる、『関節拘縮』というものです。
安静にしても、現状は何も変わりません。
筋・腱・靭帯をどのように変えていけるかが第1の課題です。

そのため、筋の緊張をなくし、伸び縮みを作る。
関節の動きも作らなければカラダは変わらない。
悪かった期間が長ければカラダが変わるまでの期間にも変化があります。

 

 

関節の動きを作るアプローチ

画像の説明を入力してください

 

「痛みを繰り返すこと」「長期間の不良姿勢」で関節が拘縮した。
だからこの固まった関節の動きを元に戻す作業が必要になります。

ただ筋肉をマッサージして筋の凝りをなくすだけでは姿勢の問題は解決されません。
関節は筋よりも深部にあります。

姿勢の問題解決には、筋肉の柔軟性も大切ですが何よりも大切なのは「関節の動き」「神経系の問題」になります。

関節の動きにも色々あります。

そる関節の動き!
捻る関節の動き!
丸まる関節の動き!
連動した関節の動き!

とそれぞれの動きがあります。
脊柱にはそれぞれ動きの役割があります。
役割がある関節が拘縮して動かなくなれば機能を失います。

関節の動く幅が狭くなることにより、筋肉が縮む・緩む機能もなくなり筋のポンプ作用がなくることで血液循環も悪くなる。
関節が動かなければ筋を柔らかくしても問題は解決しません。
筋肉の機能を最大限に活用するには、関節の動きを修正し、脊柱が連動して動く環境が必要になります。

だから気持ちいいマッサージではなく、背中から腰・骨盤の関節の動きを作るためのアプローチが必要になります。
しなやかに動くからこそ局所への負担が蓄積せずキャパを超えないため痛みも出ないようになります。
痛みを繰り返すから筋肉が固くなったり、関節の動きの制限を作ったり、痛みが出やすいカラダを作ってしまいます。

腰だけの問題ではなく、どうやったら局所への負担を軽減させられるか!
それは脊柱の連動性です。
この脊柱の連動性が大事な要因になります。

 

首・背中・腰と柔らかい脊柱を作る

画像の説明を入力してください


腰と骨盤は、胴体部分と連結してつながっています。

腰の問題を解決するには、骨盤と背中の可動域がものすごく重要になります。本来は、背中・骨盤と連動して動くはずなのに、背中が固まって動かない状態だと局所への負担が大きくかかります。

胴体にある骨は、胸椎・腰椎・肋骨・肩甲骨・鎖骨・骨盤など。
これらの関節が連動して動く。

しなやかに動くからこそ局所への負担が蓄積せずキャパを超えないため痛みも出ないようになります。

痛みを繰り返すから筋肉が固くなったり、関節の動きの制限を作ったり、痛みが出やすいカラダを作ってしまいます。首だけの問題ではなく、どうやったら局所への負担を軽減させられるか!!

それは脊柱の連動性です。

この脊柱の連動性が大事な要因になります。
 

弱化した筋・短縮した筋・伸張した筋を修正

画像の説明を入力してください


不良姿勢の問題が長いと筋の問題・関節の問題・神経の問題と色々合併します。
そこで筋には筋に対して適切なアプローチが必要になります。

関節の問題には関節へのアプローチ。
神経には神経のアプローチが必要になります。

弱くなった筋は、強化しなくてはいけません。
短縮した筋肉は、伸張できるようにしなくてはいけません。
伸張した筋肉は、短縮できるようにしなくてはいけません。

この弱くなった筋・短縮した筋肉・伸張した筋を修正するのは、ベッドに寝たおまかせの施術では修正できません。
だから、ただなんとなくのマッサージや、フィットネスジムでのトレーニング、ただ骨をボキボキならす骨格矯正、治療と謳う骨格矯正などでは姿勢の問題は解決しない理由です。

短縮してかたまった筋は手でアプローチし、弾力性を作ってから運動療法で筋の機能を回復させます。
伸張した筋は運動療法で筋に収縮する刺激を入れ伸張した筋を短縮させる。
弱くなった筋は刺激を入れ強化する。

この過程がない限り、カラダの機能は解消しない。
何度もいいますが、ただなんとなくのマッサージや、フィットネスジムでのトレーニング、ただ骨をボキボキならす骨格矯正などでは姿勢の問題は解決しない理由です。
 

荷重ポイントを修正

画像の説明を入力してください


姿勢が悪くなると、荷重ポイントが前側に変わります。

通常の荷重ポイントは、外くるぶしの下あたりになりますが、膝痛や股関節痛、腰痛になると荷重ポイントが変わる事が多くあります。

荷重ポイントが変わることにより、特定の筋への負荷が高まります。
筋の負荷が高まるため、結果、筋が短縮したり伸張したりします。

筋は骨に付いています。
筋が凝り短縮することで骨を誘導します。

例えば、荷重ポイントがつま先の前側で荷重するとももの前の筋肉が緊張するし、カラダが前に倒れないように、上半身をうしろにかばうどうさをします。

ももの前の筋と腰の筋肉が過剰に緊張しあって、結果的に骨盤を前傾させてしまいます。

色々な事が重なり合った結果がカラダの不調として出てきます。
 

当施設のアプローチを利用された方

階段や歩いている時のひざ痛

世田谷区のS.Tさん(60歳)

階段や段差などの時に膝が痛く、こちらを受診しました。
今は受診して1か月目ですが、以前より歩きやすくなりました。

運動もただモモの前のトレーニングだけでなく、お尻のトレーニングとか、「なぜこれをしないといけないのか!」を教えてくれるから納得します。

首痛・腰痛

世田谷区のT.Mさん(55歳)

今までずっと首に違和感があり、左に向くと痛みを感じていました。

また15年来の腰痛もあり、毎日の立ち仕事がとてもつらく感じておりましたが、何度か通うようになったところで首の痛みは消えラクになってきました。

今後は腰痛の方も改善されればと期待しております。

院内の環境もキレイで気持ちよく施術が受けれます。

施術 料金

 

当院で受けられる施術料金をご案内します。
※表記はすべて税込金額です。

当施設は、施術と運動療法を提供いたします。
しかし、初診時から運動療法を提供するわけではありません。
あくまで、セラピストの判断で運動療法のメニューを作成いたします。

基本料金表

検査料 2,000円
施術料金 5.000円
2回目以降 5.000円

高校生以下の料金表

検査料 2,000円
施術料金 6.000円
2回目以降 6.000円

<はじめての方へ>

  • お支払いは、現金、クレジットカード、電子マネーはお取扱いしております。
  • 領収書が必要な方は、お申し付けください。
  • やむを得ず予約をキャンセルされる場合は、お電話にて、できるだけ早めにご連絡ください。

それでも半月板損傷の膝でお困りなら

あなたの膝痛お悩みを解決します!​

代表の佐藤です。

あなたのお悩みを解決します!​

病院で治らない半月板損傷は当施設にお任せください!

痛みが解消された方が多数いらっしゃいます!
当施設は、8項目の検査を用いて痛みを出しているからだの問題をみつけ、根本的な原因へのアプローチを提供します。


8項目の検査の詳細はこちらをタップ


徒手アプローチでは、動かない関節のうごきを作ります。
そのために筋の伸び縮みを作り、首・背中・体幹のうごきを作ります。

運動療法では、弱くなった筋・かたくなった関節をご自身でも動かしてもらい、できるだけ自分でご自宅でも筋トレをして痛みを解消する努力もしていただきます。

痛みとは、『カラダが限界ですよ!』と教えてくれるサインになります。
その大事なサインを『痛み止めのロキソニン内服薬』で押さえ込まないで、痛みが出ないからだを作るという発想の転換が必要になります。


痛みが出ないこと=仕事に影響が出ないこと  になります。
半月板損傷の問題は、『関節・筋肉・神経』 この3つへのアプローチが必要になるからです。
ただ、膝の痛みを感じる場所は膝ですが、痛みを出す原因は違う場所にあることが多いです。


この原因へのアプローチが大切になります


特に、膝の痛みは、必ず運動療法(筋トレ)が必要になります。
ヒトのカラダは神経の命令により筋肉がちぢんで骨が動く。
筋肉だけがゆるんでも意味はない。
神経からの命令により筋肉が働き、関節の安定性を作る。


この過程がないとカラダは安定せずに再発しやすいワケになります。

営業時間

診療時間

9:00~13:00

× ×
15:00~20:00 × × ×
9:00~17:00            

お電話でのお問合せはこちら

03-6310-9150

関連するページのご紹介

こちらのページを読んだ方には、下記のページもよく読まれています。ぜひご一読ください。
※下記のリンクから、本ページと関連するページのリンクを設定してください。

パソコン|モバイル
ページトップに戻る