東京都世田谷区祖師谷3-8-12  フェリーチェ祖師谷 1F

受付時間


月・火・木・金:9:00~13:00
        15:00~20:00
    水曜日:10:00~13:00     
   土曜日:9:00~13:00
                     15:00~17:00
定休日:日曜
TOP

膝関節の問題

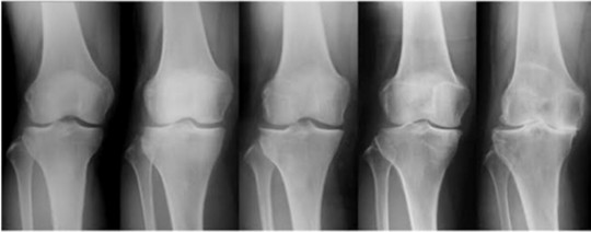
年代ごとの変形の進み具合
左が若い年代で右にいけばいくほど変形が進んでいる

膝関節の問題は年代によって違いがあります。
年代が若い時の膝の悩みは、写真の左側になる。
右側は変形が進み『手術』という言葉が選択肢として出てくる。


若い年代での膝の問題は、将来的にみれば変形性膝関節症に移行する可能性はおおくあります。
なぜなら、半月板や関節などの組織は1回壊すと元に戻る事はないからです。


だからこそ、痛みが消えたから「治った!」ではなく、自分のカラダの事を自分で理解して、カラダを守るために必要な事を継続的にしていく事が将来の予防にもつながります。




だから、

今、何をしたら痛みが解消されるのか!
今、放置すると将来の膝関節はどうなるのか?

を考える必要があります。

 

Reeducation 4つの強み

豊富な経験と高い専門性

 

私の得意分野カラダの機能を修正することです。
かたくなった関節を動かしたり、負荷がかからないカラダの動きを作る事が機能修正になります。


オリンピック代表候補選手パラ選手、その他スポーツ選手も痛みだけでなく、カラダの機能修正 リハビリ・コンディショニングをメインに行なってきました。


それは膝や腰が痛いスポーツ選手と、膝や腰が痛いサラリーマン・主婦へのアプローチに大きな違いはありません。


カラダの評価方法も基本的には同じです。
違うのは提供する運動療法の種類と負荷の選択くらいです。
機能修正とは、本来ヒトが持っていたカラダの機能になります。


スポーツ選手だろうが、レクレーションスポーツだろうが、運動をしていない肩こり・腰痛のヒトだろうが、本来ヒトが持っていたカラダの土台になるのですべての人が必要になります。

 

施術は痛いが、カラダの機能が変わるこだわりのアプローチ

,

かたまった組織を元に戻すためには、ある程度の刺激の強さが必要になります。

固まって癒着した関節を引き剥がしながら動かしたり、筋が本来持つ伸びたり縮んだりする機能を作り直す必要があります。

そのアプローチは確かに痛いですが、計画的 継続したアプローチを受けると痛かった施術が痛くなくなり、『カラダが変わった!』と自覚できます。 

 

 

皆さまのカラダのために常に知識をアップグレード

 

医師や理学療法士、作業療法士、アスレッチックトレーナーなどが主催する整形外科疾患の学会や研究会に出席。

 

文献や書籍などからも情報収集し、トレーナー仲間とのネットワークで、そこからエビデンスの良し悪しをブラッシュアップし、そのプラッシュアップした情報をみなさまのカラダへと提供します。

 

カラダに起きている痛みの根本を見つけだす8種類の検査

 

ココがかたいですね!
骨盤が歪んでいます。
変形しています。

などカラダの問題に対して一方向しかみない検査方法ではなく、問診で得た情報をもとに、8項目の検査で痛みの根本を探します。

 

姿勢骨格分析画像検査
動作評価
整形外科検査
関節可動域検査
運動神経検査
感覚(知覚)神経検査
自律神経検査
筋肉検査

を用いてカラダに起きているすべての問題点を探します。

 

 

 

代表あいさつ

カラダのことご相談ください

私はスポーツ整形・整形外科に長く勤務し、比較的 幅広い患者層     アスリートのケガから一般的な関節疾患と様々な症例を経験する環境にありました。

でも不満がありました。

医療機関や治療院では、ベッドに寝たままの治療や施術だけで治療終了するのがほとんどです。

そして、多くの医療機関が提供する『医療』にはたくさんの矛盾があります。

・医療機関は『痛み』にフォーカスした治療を提供
・医療機関が治療という名のマッサージやリラクゼーション

これでは、カラダを治すための医療機関なのか、気持ちよくするリラクゼーション屋さんなのかわかりません。

また、
『筋力がつけば痛みが消えると思っている医師やセラピスト』
『痛みがある局所しか見ず、なぜ痛みが起きるのかカラダをみない』
『歪みを矯正で治さないと根本治療じゃないという整骨院』
『最新の医療機器をスゴイという整骨院』

別にこれらの考え方が悪いと否定しているわけではありません。

ただ痛みは、日常生活による不良姿勢や間違った動作により負荷が局所に蓄積して、自分のカラダのキャパを超えた結果、痛みとしてカラダに現れます。
だから、カラダに負荷・ストレスが蓄積させないようにしなければなりません。

ならば、『本当の健康を提供する事が実現できる施設を作ってみよう』と小さながらもReeducation を設立しました。

Reeducationとは『再教育』という意味があり、徒手療法で動きの悪いカラダの部位に刺激を入力し、運動療法で痛みが出ない安定したカラダを作る。
その後、フィットネスに行ったり、ランしたりと健康へのお手伝いするスタートの場になります。

これらの事を、一般的な整形外科・整骨院・治療院で行うのは困難です。

『徒手療法と運動療法で現在 未来のためのカラダ作り!!』

痛みだけをなくす小手先の治療や施術ではなく、カラダの機能を変える!

これを本気で取り組みます!

営業時間

診療時間

9:00~13:00

×
15:00~20:00 × ×

お電話でのお問合せはこちら

03-6310-9150
パソコン|モバイル
ページトップに戻る